Buy Aspire - Mixx
Aspirex™ Catheter Set - 80326 | BD
AspireX
Aspire GX Features | Desktops | Acer Canada
Straub Medical > aspirex > Straub Medical Aspir...
Aspirex 81mg Tab 10's - LifePlus
ASPIREX®S – Angiocare
Aspirex Adverse Reactions | MIMS Myanmar
aspire
Straub Medical AG production production
First patient enrolled in AspirexS venous cathe...
Aspire Cyber X
Aspirex-Multi cleaner - Wood Polish & Cleaners ...
Straub Medical | Aspirex S Catheter
Aspire launches enhanced suite of AI-powered fe...
Aspire Cyber X Kit
Aspirex® S
Aspire - Kit Boxxer Color Black
ASPIREX ® S catheter
ASPIRE — Aspire Nautilus Prime X. www.aspirecig...
Aspire Overview
Aspirex™ Mechanical Aspiration Thrombectomy System
Aspirex Plus Information Sheet - Integra LifeSc...
NEC ASPIREX OPERATION MANUAL Pdf Download | Man...
ASPIREX®S by Straub Medical AG - YouTube
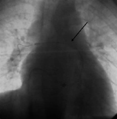
Aspirex device placed on the right pulmonary ar...
AspireX by AspireX Inc.
Aspirex 81 (10 tablets) – Common Health Myanmar
Aspire Cyber X- Official Aspire
Aspire Cyber X Kit – Enjoy E Smoking Ireland
Aspire GX Design | Desktops | Acer United States
Aspire Cyber X | £19.89 | Free E-Liquid